|
Background: |
This gene belongs to subfamily P of the forkhead box (FOX) transcription factor family. Forkhead box transcription factors play important roles in the regulation of tissue- and cell type-specific gene transcription during both development and adulthood. Many members of the forkhead box gene family, including members of subfamily P, have roles in mammalian oncogenesis. This gene may play a role in the development of tumors of the kidney and larynx. Alternative splicing of this gene produces multiple transcript variants, some encoding different isoforms. |
|
Applications: |
ELISA, WB, IHC |
|
Name of antibody: |
FOXP4 |
|
Immunogen: |
Synthetic peptide of human FOXP4 |
|
Full name: |
forkhead box P4 |
|
Synonyms: |
hFKHLA |
|
SwissProt: |
Q8IVH2 |
|
ELISA Recommended dilution: |
5000-10000 |
|
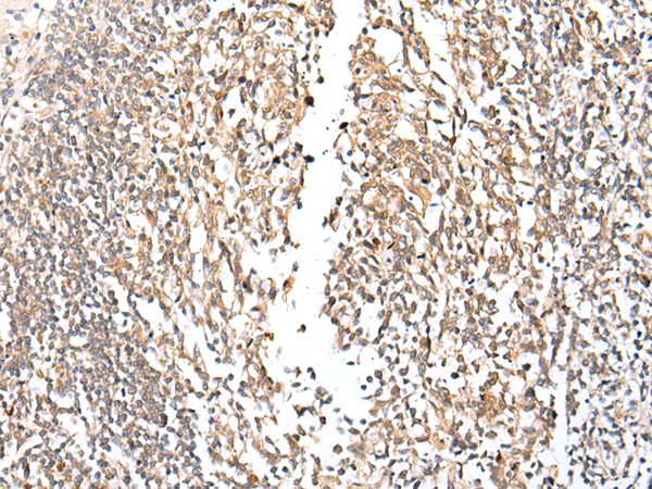
IHC positive control: |
Human tonsil |
|
IHC Recommend dilution: |
20-100 |
|
WB Predicted band size: |
73 kDa |
|
WB Positive control: |
293T cell |
|
WB Recommended dilution: |
200-1000 |


購物車
幫助
021-54845833/15800441009
