|
Background: |
The muscarinic cholinergic receptors belong to a larger family of G protein-coupled receptors. The functional diversity of these receptors is defined by the binding of acetylcholine and includes cellular responses such as adenylate cyclase inhibition, phosphoinositide degeneration, and potassium channel mediation. Muscarinic receptors influence many effects of acetylcholine in the central and peripheral nervous system. The clinical implications of this receptor are unknown; however, stimulation of this receptor is known to increase cyclic AMP levels. |
|
Applications: |
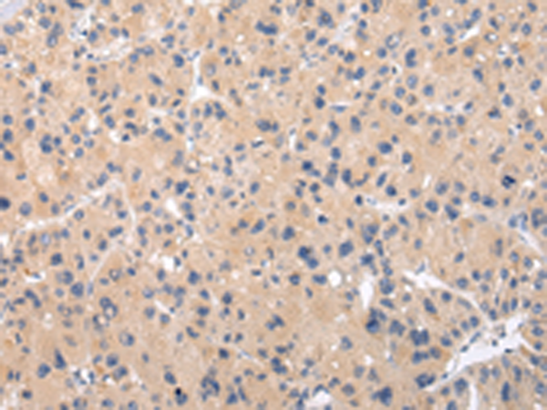
ELISA, IHC |
|
Name of antibody: |
CHRM5 |
|
Immunogen: |
Synthetic peptide of human CHRM5 |
|
Full name: |
cholinergic receptor, muscarinic 5 |
|
Synonyms: |
HM5 |
|
SwissProt: |
P08912 |
|
ELISA Recommended dilution: |
2000-5000 |
|
IHC positive control: |
Human liver cancer |
|
IHC Recommend dilution: |
25-100 |
購物車
幫助
021-54845833/15800441009
