|
Background: |
Mtvr1 (mammary tumor virus receptor homolog 1), also known as FAM89B (family with sequence similarity 89, member B), is a 176 amino acid protein that exists as two alternatively spliced isoforms. Belonging to the FAM89 family, Mtvr1 is encoded by a gene that maps to human chromosome 11, which comprises approximately 4% of human genomic DNA and is considered a gene and disease association dense chromosome. The chromosome 11 encoded Atm gene is important for regulation of cell cycle arrest and apoptosis following double strand DNA breaks. Atm mutation leads to the disorder known as ataxia-telangiectasia. The blood disorders Sickle cell anemia and thalassemia are caused by HBB gene mutations, while Wilms' tumors, WAGR syndrome and Denys-Drash syndrome are associated with mutations of the WT1 gene. Jervell and Lange-Nielsen syndrome, Jacobsen syndrome, Niemann-Pick disease, hereditary angioedema and Smith-Lemli-Opitz syndrome are also associated with defects in chromosome 11-encoded genes. |
|
Applications: |
ELISA, IHC |
|
Name of antibody: |
FAM89B |
|
Immunogen: |
Fusion protein of human FAM89B |
|
Full name: |
family with sequence similarity 89, member B |
|
Synonyms: |
MTVR1 |
|
SwissProt: |
Q8N5H3 |
|
ELISA Recommended dilution: |
1000-2000 |
|
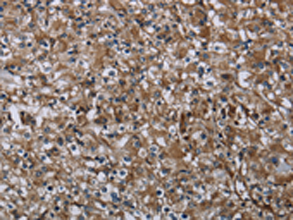
IHC positive control: |
Human prostate cancer |
|
IHC Recommend dilution: |
25-100 |
購(gòu)物車
幫助
021-54845833/15800441009
