|
Background: |
This gene encodes a nuclear-localized protein containing a death effector domain (DED). The encoded protein may regulate the trafficking of caspases and other proteins into the nucleus during death receptor-induced apoptosis. Alternative splicing results in multiple transcript variants. |
|
Applications: |
ELISA, IHC |
|
Name of antibody: |
DEDD2 |
|
Immunogen: |
Fusion protein of human DEDD2 |
|
Full name: |
death effector domain containing 2 |
|
Synonyms: |
FLAME-3 |
|
SwissProt: |
Q8WXF8 |
|
ELISA Recommended dilution: |
5000-10000 |
|
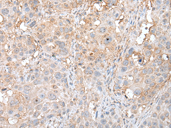
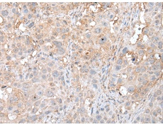
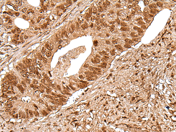
IHC positive control: |
Human colorectal cancer and human esophagus cancer |
|
IHC Recommend dilution: |
25-100 |

購(gòu)物車
幫助
021-54845833/15800441009
