|
Background: |
This gene encodes a non-catalytic component of the human exosome, a complex with 3'-5' exoribonuclease activity that plays a role in numerous RNA processing and degradation activities. Related pseudogenes of this gene are found on chromosome 19 and 21. Alternatively spliced transcript variants encoding different isoforms have been described. |
|
Applications: |
ELISA, IHC |
|
Name of antibody: |
EXOSC3 |
|
Immunogen: |
Fusion protein of human EXOSC3 |
|
Full name: |
exosome component 3 |
|
Synonyms: |
p10; PCH1B; RRP40; Rrp40p; CGI-102; hRrp-40; bA3J10.7 |
|
SwissProt: |
Q9NQT5 |
|
ELISA Recommended dilution: |
5000-10000 |
|
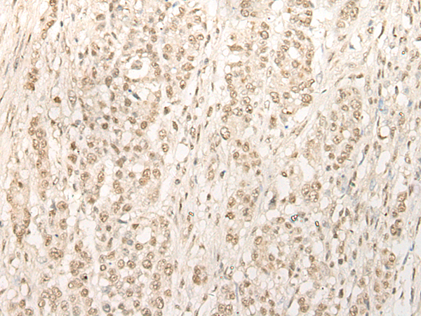
IHC positive control: |
Human colorectal cancer and Human cervical cancer |
|
IHC Recommend dilution: |
25-100 |

購物車
幫助
021-54845833/15800441009
