|
Background: |
This gene encodes an endo/exonuclease with 5'-3' exonuclease activity. The encoded enzyme catalyzes the hydrolysis of ester linkages at the 5' end of a nucleic acid chain. This enzyme is localized to the mitochondria and may play a role in programmed cell death. Alternatively spliced transcript variants have been described. A pseudogene exists on chromosome 18. [provided by RefSeq, Feb 2009] |
|
Applications: |
ELISA, WB, IHC |
|
Name of antibody: |
EXOG |
|
Immunogen: |
Fusion protein of human EXOG |
|
Full name: |
exo/endonuclease G |
|
Synonyms: |
ENGL; ENGLA; ENGLB; ENGL-a; ENGL-b; ENDOGL1; ENDOGL2 |
|
SwissProt: |
Q9Y2C4 |
|
ELISA Recommended dilution: |
5000-10000 |
|
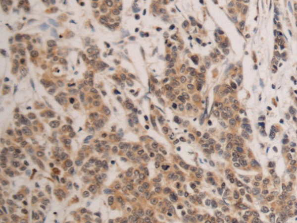
IHC positive control: |
Human colorectal cancer |
|
IHC Recommend dilution: |
150-300 |
|
WB Predicted band size: |
41 kDa |
|
WB Positive control: |
K562, LOVO, HT-29, HUVEC cell lysates |
|
WB Recommended dilution: |
500-2000 |

購物車
幫助
021-54845833/15800441009
