|
Background: |
The protein encoded by this gene is a member of the bone morphogenetic protein (BMP) family and the TGF-beta superfamily. This group of proteins is characterized by a polybasic proteolytic processing site which is cleaved to produce a mature protein containing seven conserved cysteine residues. The members of this family are regulators of cell growth and differentiation in both embryonic and adult tissues. Studies in mice and Xenopus suggest that this protein is involved in mesodermal formation and neurogenesis during embryonic development. |
|
Applications: |
ELISA, WB, IHC |
|
Name of antibody: |
GDF11 |
|
Immunogen: |
Synthetic peptide of human GDF11 |
|
Full name: |
growth differentiation factor 11 |
|
Synonyms: |
BMP11; BMP-11 |
|
SwissProt: |
O95390 |
|
ELISA Recommended dilution: |
2000-5000 |
|
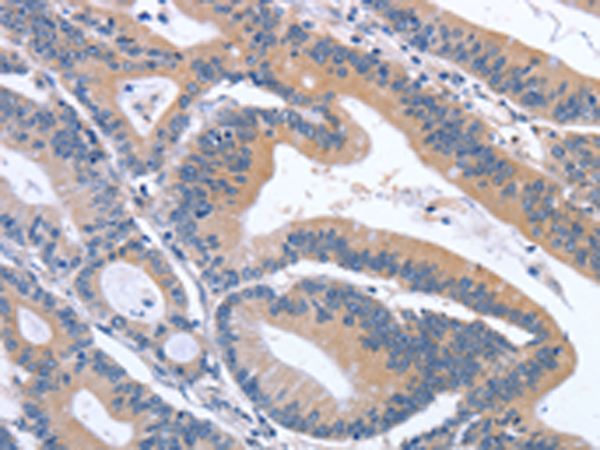
IHC positive control: |
Human colon cancer and human Lymphoma |
|
IHC Recommend dilution: |
25-100 |
|
WB Predicted band size: |
45 kDa |
|
WB Positive control: |
Hela and 293T cell |
|
WB Recommended dilution: |
500-2000 |



購物車
幫助
021-54845833/15800441009
