|
Background: |
Somatostatins are peptide hormones that regulate diverse cellular functions such as neurotransmission, cell proliferation, and endocrine signaling as well as inhibiting the release of many hormones and other secretory proteins. Somatostatin has two active forms of 14 and 28 amino acids. The biological effects of somatostatins are mediated by a family of G-protein coupled somatostatin receptors that are expressed in a tissue-specific manner. The protein encoded by this gene is a member of the superfamily of somatostatin receptors having seven transmembrane segments. Somatostatin receptors form homodimers and heterodimers with other members of the superfamily as well as with other G-protein coupled receptors and receptor tyrosine kinases. This somatostatin receptor has greater affinity for somatostatin-14 than -28. |
|
Applications: |
ELISA, WB, IHC |
|
Name of antibody: |
SSTR1 |
|
Immunogen: |
Synthetic peptide of human SSTR1 |
|
Full name: |
somatostatin receptor 1 |
|
Synonyms: |
SS1R, SS1-R, SRIF-2, SS-1-R |
|
SwissProt: |
P30872 |
|
ELISA Recommended dilution: |
2000-5000 |
|
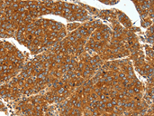
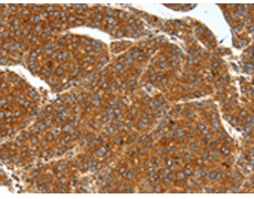
IHC positive control: |
Human liver cancer and Human ovarian cancer |
|
IHC Recommend dilution: |
50-200 |
|
WB Predicted band size: |
43 kDa |
|
WB Positive control: |
293T and hela cells |
|
WB Recommended dilution: |
500-2000 |

購物車
幫助
021-54845833/15800441009
