中文名稱:小鼠抗KRT18單克隆抗體
|
Background: |
KRT18 encodes the type I intermediate filament chain keratin 18. Keratin 18, together with its filament partner keratin 8, are perhaps the most commonly found members of the intermediate filament gene family. They are expressed in single layer epithelial tissues of the body. Mutations in this gene have been linked to cryptogenic cirrhosis. Two transcript variants encoding the same protein have been found for this gene. |
|
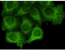
Applications: |
WB, IF |
|
Name of antibody: |
KRT18 |
|
Immunogen: |
Fusion protein of human KRT18 |
|
Full name: |
keratin 18 |
|
Synonyms: |
K18; CK-18; CYK18 |
|
SwissProt: |
P05783 |
|
WB Predicted band size: |
48 kDa |
|
WB Positive control: |
COS7, 293T and Hela cell lysates |
|
WB Recommended dilution: |
1000-5000 |
|
IF positive control: |
Hela cells |
|
IF Recommend dilution: |
500-800 |

購(gòu)物車(chē)
幫助
021-54845833/15800441009
