中文名稱: 兔抗ZNF397多克隆抗體
|
Background: |
This gene encodes a protein with a N-terminal SCAN domain, and the longer isoform contains nine C2H2-type zinc finger repeats in the C-terminal domain. The protein localizes to centromeres during interphase and early prophase, and different isoforms can repress or activate transcription in transfection studies. Multiple transcript variants encoding different isoforms have been found for this gene. Additional variants have been described, but their biological validity has not been determined. |
|
Applications: |
ELISA, IHC |
|
Name of antibody: |
ZNF397 |
|
Immunogen: |
Fusion protein of human ZNF397 |
|
Full name: |
zinc finger protein 397 |
|
Synonyms: |
ZNF47; ZSCAN15 |
|
SwissProt: |
Q8NF99 |
|
ELISA Recommended dilution: |
5000-10000 |
|
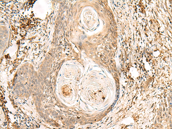
IHC positive control: |
Human tonsil and Human cervical cancer |
|
IHC Recommend dilution: |
40-200 |

購物車
幫助
021-54845833/15800441009
