|
Background: |
This gene encodes a putative RNA-binding protein containing G-patch and KOW (Kyprides, Ouzounis, Woese) domains. The encoded protein interacts directly with protein kinase A and protein kinase X and is also found associated with the spliceosome. |
|
Applications: |
ELISA, WB, IHC |
|
Name of antibody: |
GPKOW |
|
Immunogen: |
Fusion protein of human GPKOW |
|
Full name: |
G-patch domain and KOW motifs |
|
Synonyms: |
T54; Spp2; GPATC5; GPATCH5 |
|
SwissProt: |
Q92917 |
|
ELISA Recommended dilution: |
5000-10000 |
|
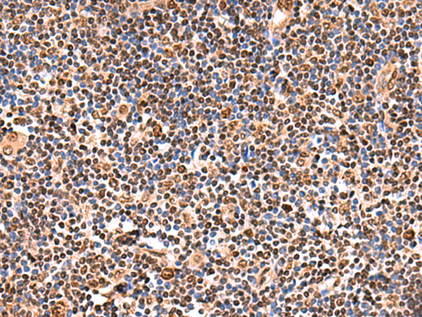
IHC positive control: |
Human tonsil |
|
IHC Recommend dilution: |
100-500 |
|
WB Predicted band size: |
53 kDa |
|
WB Positive control: |
293T and Jurkat cell lysates |
|
WB Recommended dilution: |
1000-5000 |


購(gòu)物車(chē)
幫助
021-54845833/15800441009
