|
Background: |
proto-oncogenic cytoplasmic tyrosine kinase of the SRC family. Highly expressed in certain fully differentiated cells such as neurons, platelets and macrophages. Phosphorylation of an activation loop tyrosine activates the enzyme; phosphorylation of a tyrosine in the C-terminus by Csk inhibits the enzyme. |
|
Applications: |
WB, IHC, IF |
|
Name of antibody: |
SRC (Phospho-Tyr529) |
|
Immunogen: |
Synthetic peptide of human SRC (Phospho-Tyr529) |
|
Full name: |
v-src sarcoma (Schmidt-Ruppin A-2) viral oncogene homolog (avian) (Phospho-Tyr529) |
|
Synonyms: |
ASV; SRC1; c-SRC; p60-Src |
|
SwissProt: |
P12931 |
|
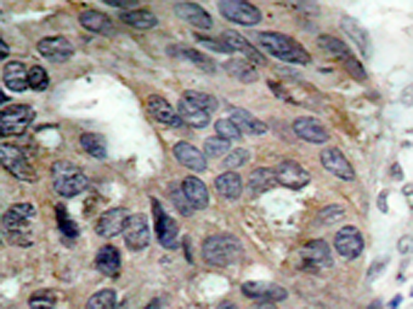
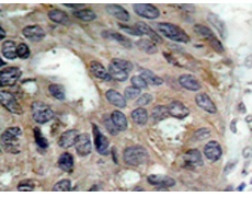
IHC positive control: |
Human breast carcinoma |
|
IHC Recommend dilution: |
50-100 |
|
WB Predicted band size: |
60 kDa |
|
WB Positive control: |
HT29 cells untreated or treated with PMA |
|
WB Recommended dilution: |
500-1000 |
|
IF Positive control: |
Hela cells |
|
IF Recommended dilution |
100-200 |


購物車
幫助
021-54845833/15800441009
