|
Background: |
Transcription factor. Directly controls the expression of cytokine and chemokine genes in a wide variety of different cellular contexts. May control the differentiation, survival and proliferation of lymphoid cells. May also regulate angiogenesis through regulation of expression of genes controlling endothelial cell migration and invasion. |
|
Applications: |
WB, IHC, IF |
|
Name of antibody: |
ETS1(Phospho-Thr38) |
|
Immunogen: |
Peptide sequence around phosphorylation site of threonine 38(L-L-T(p)-P-S) derived from Human ETS1 . |
|
Full name: |
E26 avian leukemia oncogene 1, 5' domain |
|
Synonyms: |
Tpl1; Ets-1; AI196000; AI448617; D230050P06 |
|
SwissProt: |
P27577 |
|
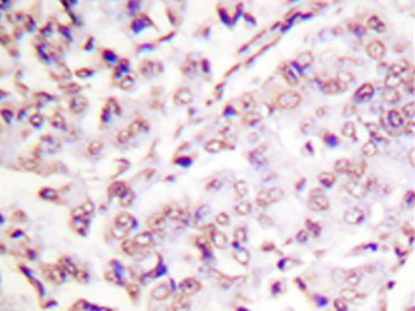
IHC positive control: |
Human breast carcinoma tissue |
|
IHC Recommend dilution: |
50-100 |
|
WB Predicted band size: |
50 kDa |
|
WB Positive control: |
HepG2 cells lysates |
|
WB Recommended dilution: |
500-1000 |
|
IF positive control: |
Hela cells |
|
IF Recommend dilution: |
100-200 |


購物車
幫助
021-54845833/15800441009
