儲 存: 冷凍(-20℃)
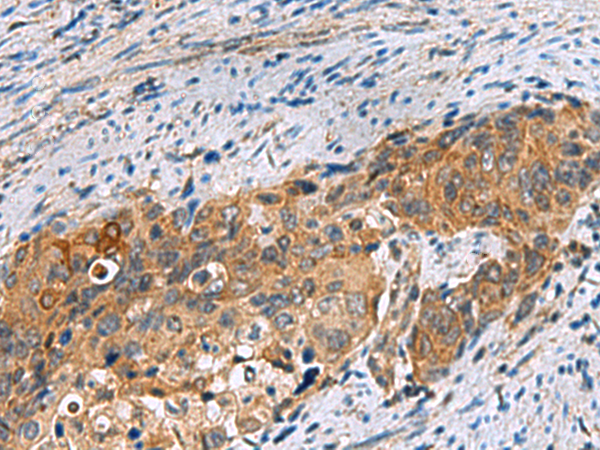
抗 原: JOSD1
|
Background: |
Deubiquitinates monoubiquitinated probes (in vitro). When ubiquitinated, cleaves 'Lys-63'-linked and 'Lys-48'-linked poly-ubiquitin chains (in vitro), hence may act as a deubiquitinating enzyme. May increase macropinocytosis and suppress clathrin- and caveolae-mediated endocytosis. May enhance membrane dynamics and cell motility independently of its catalytic activity. |
|
Applications: |
ELISA, IHC |
|
Name of antibody: |
JOSD1 |
|
Immunogen: |
Fusion protein of human JOSD1 |
|
Full name: |
Josephin domain containing 1 |
|
Synonyms: |
dJ508I15.2 |
|
SwissProt: |
Q15040 |
|
ELISA Recommended dilution: |
5000-10000 |
|
IHC positive control: |
Human cervical cancer |
|
IHC Recommend dilution: |
50-200 |

購物車
幫助
021-54845833/15800441009
