|
Background: |
Glutamate receptors are the predominant excitatory neurotransmitter receptors in the mammalian brain and are activated in a variety of normal neurophysiologic processes. These receptors are heteromeric protein complexes composed of multiple subunits, arranged to form ligand-gated ion channels. The classification of glutamate receptors is based on their activation by different pharmacologic agonists. The subunit encoded by this gene belongs to a family of AMPA (alpha-amino-3-hydroxy-5-methyl-4-isoxazole propionate)-sensitive glutamate receptors, and is subject to RNA editing (AGA->GGA; R->G). Alternative splicing at this locus results in different isoforms, which may vary in their signal transduction properties. |
|
Applications: |
ELISA, IHC |
|
Name of antibody: |
GRIA3 |
|
Immunogen: |
Synthetic peptide of human GRIA3 |
|
Full name: |
glutamate ionotropic receptor AMPA type subunit 3 |
|
Synonyms: |
GLUR3; GLURC; GluA3; MRX94; GLUR-C; GLUR-K3 |
|
SwissProt: |
P42263 |
|
ELISA Recommended dilution: |
500-1000 |
|
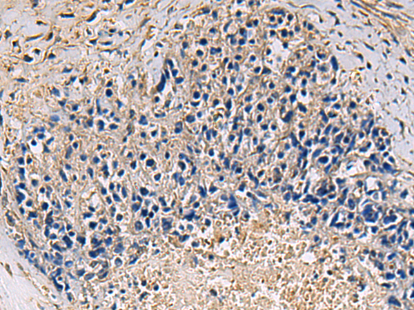
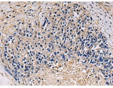
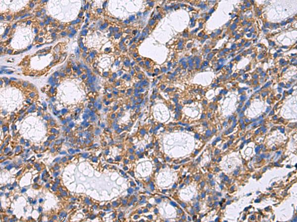
IHC positive control: |
Human thyroid cancer and Human ovarian cancer |
|
IHC Recommend dilution: |
50-100 |

購(gòu)物車
幫助
021-54845833/15800441009
