|
Background: |
This gene encodes a member of the von Willebrand factor A-like domain protein superfamily. The encoded protein is localized to the extracellular matrix and may serve as a structural component in basement membranes or in anchoring structures on scaffolds of collagen VII or fibrillin. This gene has been linked to type 1A diabetes and is a candidate serological marker for colon cancer. |
|
Applications: |
ELISA, IHC |
|
Name of antibody: |
VWA2 |
|
Immunogen: |
Fusion protein of human VWA2 |
|
Full name: |
von Willebrand factor A domain containing 2 |
|
Synonyms: |
AMACO; NET42; CCSP-2 |
|
SwissProt: |
Q5GFL6 |
|
ELISA Recommended dilution: |
5000-10000 |
|
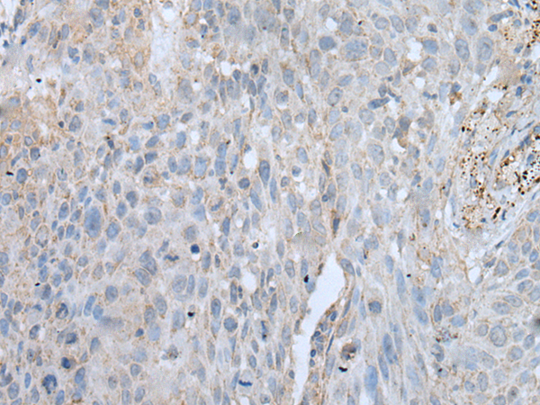
IHC positive control: |
Human lung cancer |
|
IHC Recommend dilution: |
30-150 |

購物車
幫助
021-54845833/15800441009
