|
Background: |
The protein encoded by this gene is a member of the dual specificity protein phosphatase subfamily. These phosphatases inactivate their target kinases by dephosphorylating both the phosphoserine/threonine and phosphotyrosine residues. They negatively regulate members of the mitogen-activated protein (MAP) kinase superfamily (MAPK/ERK, SAPK/JNK, p38), which is associated with cellular proliferation and differentiation. Different members of the family of dual specificity phosphatases show distinct substrate specificities for various MAP kinases, different tissue distribution and subcellular localization, and different modes of inducibility of their expression by extracellular stimuli. This gene product shows selectivity for members of the ERK family of MAP kinases, is expressed only in placenta, kidney, and fetal liver, and is localized to the cytoplasm and nucleus. |
|
Applications: |
ELISA, IHC |
|
Name of antibody: |
DUSP9 |
|
Immunogen: |
Synthetic peptide of human DUSP9 |
|
Full name: |
dual specificity phosphatase 9 |
|
Synonyms: |
MKP4; MKP-4 |
|
SwissProt: |
Q99956 |
|
ELISA Recommended dilution: |
1000-2000 |
|
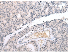
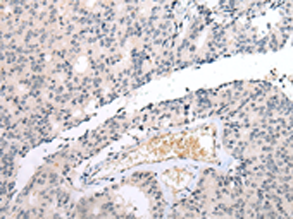
IHC positive control: |
Human prostate cancer and Human ovarian cancer |
|
IHC Recommend dilution: |
10-50 |
購物車
幫助
021-54845833/15800441009
