中文名稱(chēng): 兔抗FZD2多克隆抗體
|
Background: |
This intronless gene is a member of the frizzled gene family. Members of this family encode seven-transmembrane domain proteins that are receptors for the wingless type MMTV integration site family of signaling proteins. This gene encodes a protein that is coupled to the beta-catenin canonical signaling pathway. Competition between the wingless-type MMTV integration site family, member 3A and wingless-type MMTV integration site family, member 5A gene products for binding of this protein is thought to regulate the beta-catenin-dependent and -independent pathways. |
|
Applications: |
ELISA, IHC |
|
Name of antibody: |
FZD2 |
|
Immunogen: |
Synthetic peptide of human FZD2 |
|
Full name: |
led family receptor 2 |
|
Synonyms: |
Fz2; fz-2; fzE2; hFz2 |
|
SwissProt: |
Q14332 |
|
ELISA Recommended dilution: |
1000-5000 |
|
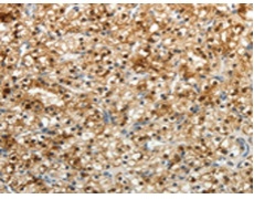
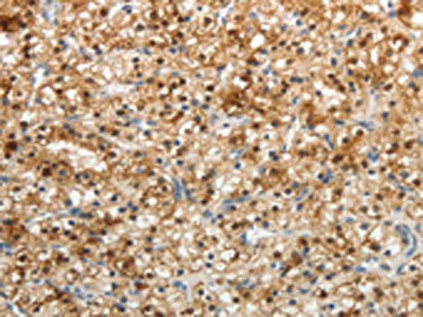
IHC positive control: |
Human renal cancer |
|
IHC Recommend dilution: |
25-100 |
購(gòu)物車(chē)
幫助
021-54845833/15800441009
