|
Background: |
This gene encodes a member of the interleukin-1 receptor-associated kinase protein family. Members of this family are essential components of the Toll/IL-R immune signal transduction pathways. This protein is primarily expressed in monocytes and macrophages and functions as a negative regulator of Toll-like receptor signaling. Mutations in this gene are associated with a susceptibility to asthma. Alternate splicing results in multiple transcript variants. |
|
Applications: |
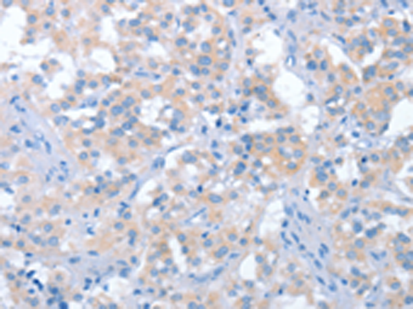
ELISA, IHC |
|
Name of antibody: |
IRAK3 |
|
Immunogen: |
Fusion protein of human IRAK3 |
|
Full name: |
interleukin-1 receptor-associated kinase 3 |
|
Synonyms: |
ASRT5; IRAKM |
|
SwissProt: |
Q9Y616 |
|
ELISA Recommended dilution: |
1000-2000 |
|
IHC positive control: |
Human thyroid cancer |
|
IHC Recommend dilution: |
25-100 |

購物車
幫助
021-54845833/15800441009
