中文名稱: 兔抗COMMD6多克隆抗體
|
Background: |
COMMD6 belongs to a family of NF-kappa-B (see RELA; MIM 164014)-inhibiting proteins characterized by the presence of a COMM domain (see COMMD1; MIM 607238) (de Bie et al., 2006 [PubMed 16573520]) |
|
Applications: |
ELISA, IHC |
|
Name of antibody: |
COMMD6 |
|
Immunogen: |
Full length fusion protein |
|
Full name: |
COMM domain containing 6 |
|
Synonyms: |
Acrg |
|
SwissProt: |
Q7Z4G1 |
|
ELISA Recommended dilution: |
5000-10000 |
|
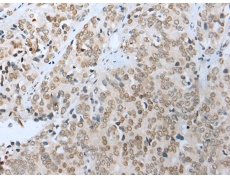
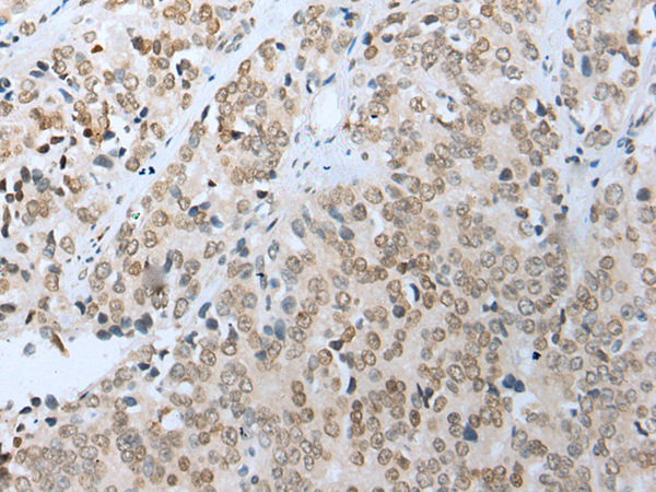
IHC positive control: |
Human prostate cancer and Human esophagus cancer |
|
IHC Recommend dilution: |
25-100 |
購(gòu)物車(chē)
幫助
021-54845833/15800441009
