|
Background: |
The protein encoded by this gene contains 2 leucine zipper domains and a putative C-terminal nuclear targeting signal, but does not have any hydrophobic regions. This protein is expressed weakly in resting NK and T cells. The encoded protein modulates the activation of ARF genes by CYTH1. This protein interacts with CYTH1 and SNX27 proteins and may act to sequester CYTH1 protein in the cytoplasm. |
|
Applications: |
ELISA, IHC |
|
Name of antibody: |
CYTIP |
|
Immunogen: |
Fusion protein of human CYTIP |
|
Full name: |
cytohesin 1 interacting protein |
|
Synonyms: |
HE; B3-1; CASP; CYBR; CYTHIP; PSCDBP |
|
SwissProt: |
O60759 |
|
ELISA Recommended dilution: |
5000-10000 |
|
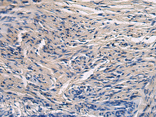
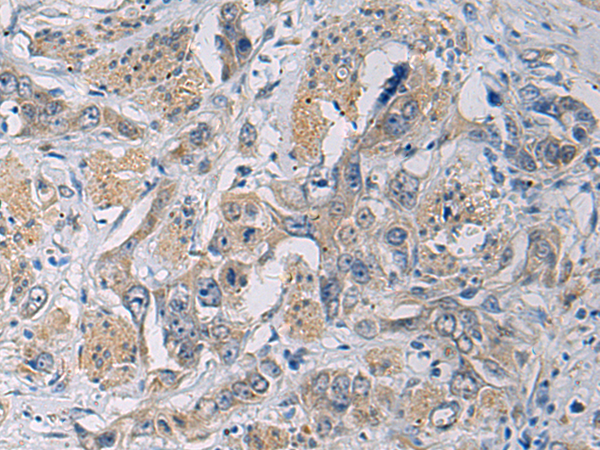
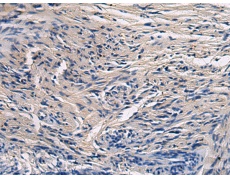
IHC positive control: |
Human esophagus cancer and Human brain |
|
IHC Recommend dilution: |
50-100 |

購(gòu)物車
幫助
021-54845833/15800441009
