|
Background: |
This gene is a member of the Ig superfamily and encodes a cell surface sialoglycoprotein expressed by cytokine-activated endothelium. This type I membrane protein mediates leukocyte-endothelial cell adhesion and signal transduction, and may play a role in the development of artherosclerosis and rheumatoid arthritis. Three alternatively spliced transcripts encoding different isoforms have been described for this gene. |
|
Applications: |
ELISA, IHC |
|
Name of antibody: |
VCAM1 |
|
Immunogen: |
Fusion protein of human VCAM1 |
|
Full name: |
vascular cell adhesion molecule 1 |
|
Synonyms: |
CD106; INCAM-100 |
|
SwissProt: |
P19320 |
|
ELISA Recommended dilution: |
2000-5000 |
|
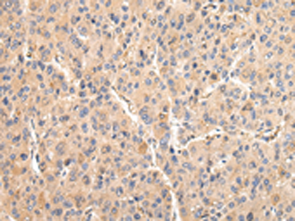
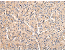
IHC positive control: |
Human prostate cancer and Human esophagus cancer |
|
IHC Recommend dilution: |
25-100 |

購物車
幫助
021-54845833/15800441009
