|
Background: |
This gene encodes a homeo-domain containing protein from a class of homeobox transcription factors which are conserved in vertebrates. Genes of this family are involved in the regulation of body development and morphogenesis. The most conserved genes, called HOX genes are found in special gene clusters. This gene belongs to the VAX subfamily and lies in the vicinity of the EMX homeobox gene family. Another member of VAX family is located on chromosome 2. The encoded protein may play an important role in the development of anterior ventral forebrain and visual system. Multiple transcript variants encoding different isoforms have been found for this gene. |
|
Applications: |
ELISA, IHC |
|
Name of antibody: |
VAX1 |
|
Immunogen: |
Synthetic peptide of human VAX1 |
|
Full name: |
ventral anterior homeobox 1 |
|
Synonyms: |
MCOPS11 |
|
SwissProt: |
Q5SQQ9 |
|
ELISA Recommended dilution: |
5000-10000 |
|
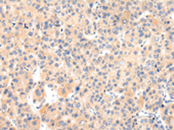
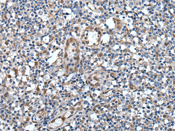
IHC positive control: |
Human tonsil and human colorectal cancer |
|
IHC Recommend dilution: |
20-100 |

購物車
幫助
021-54845833/15800441009
