中文名稱:兔抗YAP1多克隆抗體
|
Background: |
This gene encodes a downstream nuclear effector of the Hippo signaling pathway which is involved in development, growth, repair, and homeostasis. This gene is known to play a role in the development and progression of multiple cancers as a transcriptional regulator of this signaling pathway and may function as a potential target for cancer treatment. Alternative splicing results in multiple transcript variants encoding different isoforms. |
|
Applications: |
ELISA, IHC |
|
Name of antibody: |
YAP1 |
|
Immunogen: |
Synthetic peptide of human YAP1 |
|
Full name: |
Yes associated protein 1 |
|
Synonyms: |
YAP; YKI; COB1; YAP2; YAP65 |
|
SwissProt: |
P46937 |
|
ELISA Recommended dilution: |
2000-5000 |
|
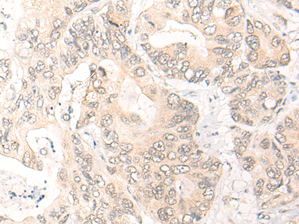
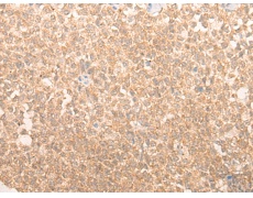
IHC positive control: |
Human gastric cancer; Human ovarian cancer |
|
IHC Recommend dilution: |
20-100 |

購物車
幫助
021-54845833/15800441009
