|
Background: |
The protein encoded by this gene belongs to the STEAP (six transmembrane epithelial antigen of prostate) family, and resides in the golgi apparatus. It functions as a metalloreductase that has the ability to reduce both Fe(3+) to Fe(2+) and Cu(2+) to Cu(1+), using NAD(+) as acceptor. Studies in mice and human suggest that this gene maybe involved in adipocyte development and metabolism, and may contribute to the normal biology of the prostate cell, as well as prostate cancer progression. Alternatively spliced transcript variants encoding different isoforms have been found for this gene. |
|
Applications: |
ELISA, IHC |
|
Name of antibody: |
STEAP4 |
|
Immunogen: |
Synthetic peptide of human STEAP4 |
|
Full name: |
STEAP family member 4 |
|
Synonyms: |
TIARP; STAMP2; TNFAIP9 |
|
SwissProt: |
Q687X5 |
|
ELISA Recommended dilution: |
2000-5000 |
|
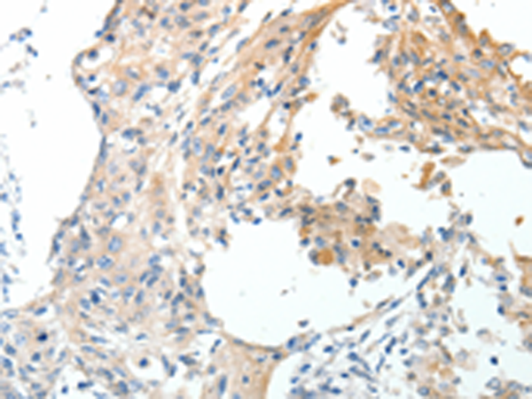
IHC positive control: |
Human cervical cancer and Human esophagus cancer |
|
IHC Recommend dilution: |
25-100 |
購(gòu)物車(chē)
幫助
021-54845833/15800441009
