|
Background: |
The protein encoded by this gene is a cytokine that controls the production, differentiation, and function of granulocytes. The active protein is found extracellularly. Alternatively spliced transcript variants have been described for this gene. |
|
Applications: |
ELISA, IHC |
|
Name of antibody: |
CSF3 |
|
Immunogen: |
Synthetic peptide of human CSF3 |
|
Full name: |
colony stimulating factor 3 (granulocyte) |
|
Synonyms: |
GCSF, CSF3OS, C17orf33 |
|
SwissProt: |
P09919 |
|
ELISA Recommended dilution: |
1000-2000 |
|
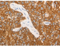
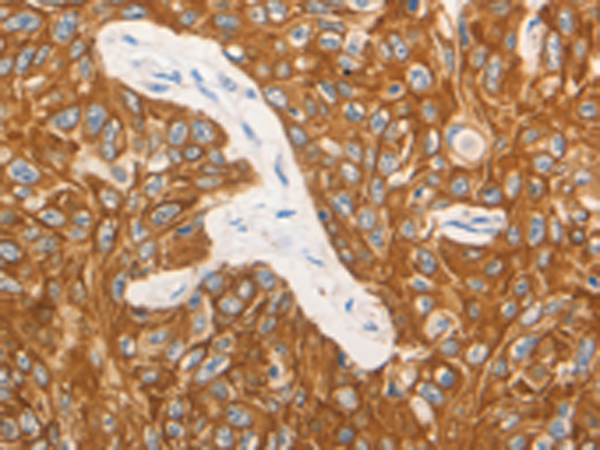
IHC positive control: |
Human esophagus cancer and Human tonsil |
|
IHC Recommend dilution: |
15-50 |
購物車
幫助
021-54845833/15800441009
