|
Background: |
This gene encodes a member of the cytochrome P450 superfamily of enzymes. The cytochrome P450 proteins are monooxygenases which catalyze many reactions involved in drug metabolism and synthesis of cholesterol, steroids and other lipids. This protein localizes to the endoplasmic reticulum and its expression is induced by phenobarbital. The enzyme is known to metabolize many xenobiotics, including the anticonvulsive drug mephenytoin, benzo(a)pyrene, 7-ethyoxycoumarin, and the anti-cancer drug taxol. This gene is located within a cluster of cytochrome P450 genes on chromosome 10q24. Several transcript variants encoding a few different isoforms have been found for this gene. |
|
Applications: |
ELISA, IHC |
|
Name of antibody: |
CYP2C8 |
|
Immunogen: |
Synthetic peptide corresponding to a region derived from 236-250 amino acids of human CYP2C8 |
|
Full name: |
cytochrome P450 family 2 subfamily C member 8 |
|
Synonyms: |
CPC8; CYPIIC8; MP-12/MP-20 |
|
SwissProt: |
P10632 |
|
ELISA Recommended dilution: |
500-1000 |
|
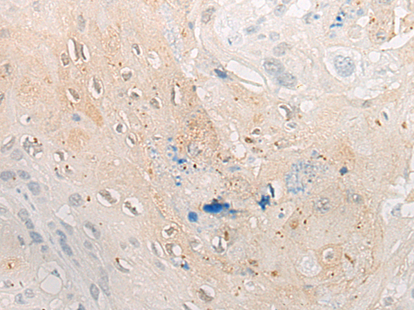
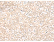
IHC Positive control: |
Human esophagus cancer;Human brain |
|
IHC Recommended dilution: |
20-100 |

購物車
幫助
021-54845833/15800441009
