中文名稱:兔抗ANKS6多克隆抗體
|
Background: |
This gene encodes a protein containing multiple ankyrin repeats and a SAM domain. It is thought that this protein may localize to the proximal region of the primary cilium, and may play a role in renal and cardiovascular development. Mutations in this gene have been shown to cause a form of nephronophthisis (NPHP16), a chronic tubulo-interstitial nephritis. |
|
Applications: |
ELISA, IHC |
|
Name of antibody: |
ANKS6 |
|
Immunogen: |
Fusion protein of human ANKS6 |
|
Full name: |
ankyrin repeat and sterile alpha motif domain containing 6 |
|
Synonyms: |
PKDR1; SAMD6; NPHP16; ANKRD14 |
|
SwissProt: |
Q68DC2 |
|
ELISA Recommended dilution: |
5000-10000 |
|
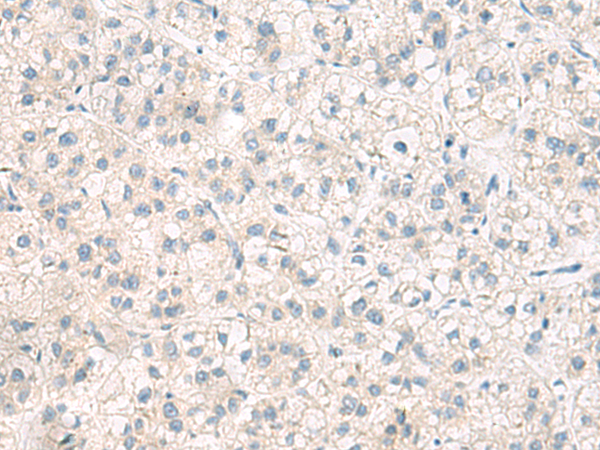
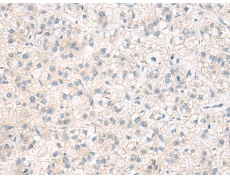
IHC positive control: |
Human brain and Human liver cancer |
|
IHC Recommend dilution: |
50-100 |
購物車
幫助
021-54845833/15800441009
