中文名稱:兔抗ZNHIT3多克隆抗體
|
Background: |
ZNHIT3 (zinc finger, HIT-type containing 3), also known as TRIP3 (thyroid receptor-interacting protein 3) or HNF-4a coactivator, is a 155 amino acid protein that contains one HIT-type zinc finger and regulates PPAR -mediated adipocyte differentiation. ZNHIT3 also coactivates HNF-4 , and as a thyroid receptor interacting protein, ZNHIT3 interacts with the ligand binding domain of the thyroid receptor. The gene encoding ZNHIT3 maps to human chromosome 17, which comprises over 2.5% of the human genome and encodes over 1,200 genes. Two key tumor suppressor genes are associated with chromosome 17, namely, p53 and BRCA1. Malfunction or loss of p53 expression is associated with malignant cell growth and Li-Fraumeni syndrome. Like p53, BRCA1 is directly involved in DNA repair, though specifically it is recognized as a genetic determinant of early onset breast cancer and predisposition to cancers of the ovary, colon, prostate gland and fallopian tubes. |
|
Applications: |
ELISA, IHC |
|
Name of antibody: |
ZNHIT3 |
|
Immunogen: |
Synthetic peptide of human ZNHIT3 |
|
Full name: |
zinc finger, HIT-type containing 3 |
|
Synonyms: |
TRIP3 |
|
SwissProt: |
Q15649 |
|
ELISA Recommended dilution: |
5000-10000 |
|
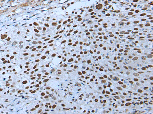
IHC positive control: |
Human esophagus cancer and human tonsil |
|
IHC Recommend dilution: |
45-300 |

購物車
幫助
021-54845833/15800441009
