中文名稱: 兔抗GRN多克隆抗體
|
Background: |
Granulins are a family of secreted, glycosylated peptides that are cleaved from a single precursor protein with 7.5 repeats of a highly conserved 12-cysteine granulin/epithelin motif. The 88 kDa precursor protein, progranulin, is also called proepithelin and PC cell-derived growth factor. Cleavage of the signal peptide produces mature granulin which can be further cleaved into a variety of active, 6 kDa peptides. These smaller cleavage products are named granulin A, granulin B, granulin C, etc. Epithelins 1 and 2 are synonymous with granulins A and B, respectively. Both the peptides and intact granulin protein regulate cell growth. However, different members of the granulin protein family may act as inhibitors, stimulators, or have dual actions on cell growth. Granulin family members are important in normal development, wound healing, and tumorigenesis. |
|
Applications: |
ELISA, IHC |
|
Name of antibody: |
GRN |
|
Immunogen: |
Fusion protein of human GRN |
|
Full name: |
granulin precursor |
|
Synonyms: |
GEP; GP88; PEPI; PGRN; CLN11; PCDGF |
|
SwissProt: |
P28799 |
|
ELISA Recommended dilution: |
5000-10000 |
|
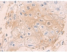
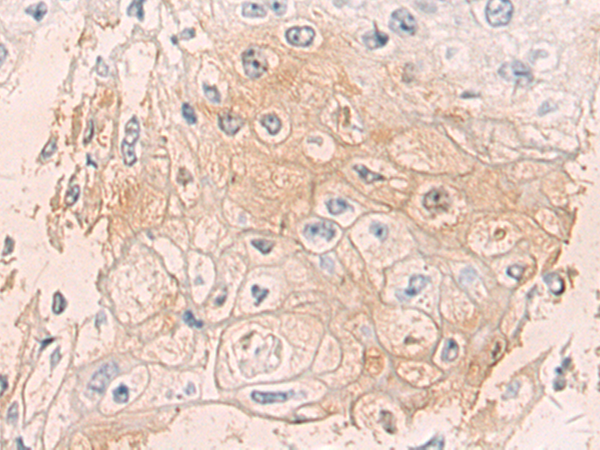
IHC positive control: |
Human esophagus cancer |
|
IHC Recommend dilution: |
50-100 |
購物車
幫助
021-54845833/15800441009
