中文名稱: 兔抗GRSF1多克隆抗體
|
Background: |
The protein encoded by this gene is a cellular protein that binds RNAs containing the G-rich element. The protein is localized in the cytoplasm, and has been shown to stimulate translation of viral mRNAs in vitro. Multiple transcript variants encoding different isoforms have been found for this gene. |
|
Applications: |
ELISA, IHC |
|
Name of antibody: |
GRSF1 |
|
Immunogen: |
Synthetic peptide of human GRSF1 |
|
Full name: |
G-rich RNA sequence binding factor 1 |
|
SwissProt: |
Q12849 |
|
ELISA Recommended dilution: |
5000-10000 |
|
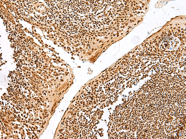
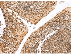
IHC positive control: |
Human ovarian cancer and Human tonsil |
|
IHC Recommend dilution: |
40-200 |

購物車
幫助
021-54845833/15800441009
