中文名稱:兔抗GRTP1多克隆抗體
|
Background: |
GRTP1 (Growth hormone-regulated TBC protein 1), also designated TBC1 domain family member 6, is a 336 amino acid protein with expression modulated by growth hormone. The TBC1 domain of GRTP1 is a region that is notably conserved among GTPase-activating proteins, which characteristically play a role in the cell cycle and mitosis coordination. Interestingly, expression of GRTP1 is significantly upregulated in post-puberty testis and then maintained in the adult, suggesting that the germ cell may be the major site of GRTP1 function. There are two isoforms of GRTP1, which are a result of alternative splicing events. May act as a GTPase-activating protein for Rab family protein(s). |
|
Applications: |
ELISA, IHC |
|
Name of antibody: |
GRTP1 |
|
Immunogen: |
Synthetic peptide of human GRTP1 |
|
Full name: |
growth hormone regulated TBC protein 1 |
|
Synonyms: |
TBC1D6 |
|
SwissProt: |
Q5TC63 |
|
ELISA Recommended dilution: |
5000-10000 |
|
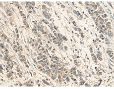
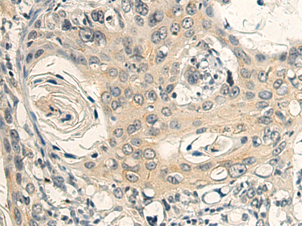
IHC positive control: |
Human esophagus cancer and Human colorectal cancer |
|
IHC Recommend dilution: |
25-50 |

購物車
幫助
021-54845833/15800441009
