中文名稱:兔抗BIRC5(Phospho-Thr117)多克隆抗體
|
Background: |
This gene is a member of the inhibitor of apoptosis (IAP) gene family, which encode negative regulatory proteins that prevent apoptotic cell death. IAP family members usually contain multiple baculovirus IAP repeat (BIR) domains, but this gene encodes proteins with only a single BIR domain. The encoded proteins also lack a C-terminus RING finger domain. Gene expression is high during fetal development and in most tumors, yet low in adult tissues. |
|
Applications: |
WB |
|
Name of antibody: |
BIRC5(Phospho-Thr117) |
|
Immunogen: |
Peptide sequence around phosphorylation site of Threonine 117 (K-E-T(p)-N-N) derived from Human Survivin. |
|
Full name: |
baculoviral IAP repeat containing 5 |
|
Synonyms: |
API4; EPR-1 |
|
SwissProt: |
O15392 |
|
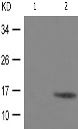
WB Predicted band size: |
16 kDa |
|
WB Positive control: |
Hela cells lysates |
|
WB Recommended dilution: |
500-1000 |

購物車
幫助
021-54845833/15800441009
