|
Background: |
This gene encodes a type III intermediate filament protein. Intermediate filaments, along with microtubules and actin microfilaments, make up the cytoskeleton. The encoded protein is responsible for maintaining cell shape and integrity of the cytoplasm, and stabilizing cytoskeletal interactions. This protein is involved in neuritogenesis and cholesterol transport and functions as an organizer of a number of other critical proteins involved in cell attachment, migration, and signaling. Bacterial and viral pathogens have been shown to attach to this protein on the host cell surface. Mutations in this gene are associated with congenital cataracts in human patients. |
|
Applications: |
ELISA, WB, IHC |
|
Name of antibody: |
VIM |
|
Immunogen: |
Fusion protein of human VIM |
|
Full name: |
vimentin |
|
SwissProt: |
P08670 |
|
ELISA Recommended dilution: |
5000-10000 |
|
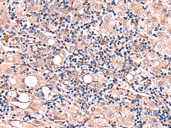
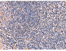
IHC positive control: |
Human tonsil and Human liver cancer |
|
IHC Recommend dilution: |
50-300 |
|
WB Predicted band size: |
54 kDa |
|
WB Positive control: |
Hela cell lysate |
|
WB Recommended dilution: |
2000-5000 |


購物車
幫助
021-54845833/15800441009
