|
Background: |
This gene encodes a protein which interacts with the carboxy-terminus of the RAP74 subunit of transcription initiation factor TFIIF, and functions as a phosphatase that processively dephosphorylates the C-terminus of POLR2A (a subunit of RNA polymerase II), making it available for initiation of gene expression. Mutations in this gene are associated with congenital cataracts, facial dysmorphism and neuropathy syndrome (CCFDN). Alternatively spliced transcript variants encoding different isoforms have been described for this gene. |
|
Applications: |
ELISA, WB, IHC |
|
Name of antibody: |
CTDP1 |
|
Immunogen: |
Synthetic peptide of human CTDP1 |
|
Full name: |
CTD phosphatase subunit 1 |
|
Synonyms: |
FCP1; CCFDN |
|
SwissProt: |
Q9Y5B0 |
|
ELISA Recommended dilution: |
5000-10000 |
|
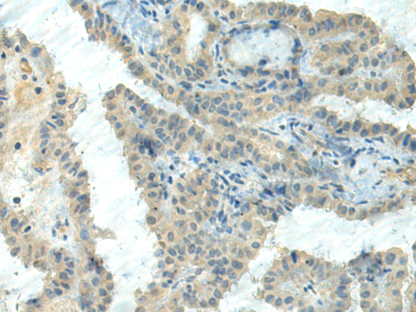
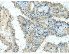
IHC positive control: |
Human ovarian cancer and Human thyroid cancer |
|
IHC Recommend dilution: |
50-300 |
|
WB Predicted band size: |
104 kDa |
|
WB Positive control: |
HEPG2 cell lysate |
|
WB Recommended dilution: |
500-2000 |


購物車
幫助
021-54845833/15800441009
