|
Background: |
Transcription factor involved in regulating gene activity following the primary growth factor response. Binds to the DNA sequence 5'-TGA[CG]TCA-3'. |
|
Applications: |
ELISA, IHC |
|
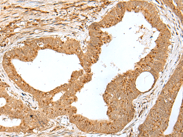
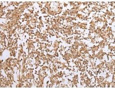
Name of antibody: |
JUNB |
|
Immunogen: |
Synthetic peptide of human JUNB |
|
Full name: |
jun B proto-oncogene |
|
Synonyms: |
AP-1 |
|
SwissProt: |
P17275 |
|
ELISA Recommended dilution: |
5000-10000 |
|
IHC positive control: |
Human gastric cancer and human tonsil |
|
IHC Recommend dilution: |
25-100 |

購物車
幫助
021-54845833/15800441009
