中文名稱: 兔抗ASTN2多克隆抗體
|
Background: |
This gene encodes a protein that is expressed in the brain and may function in neuronal migration, based on functional studies of the related astrotactin 1 gene in human and mouse. A deletion at this locus has been associated with schizophrenia. Multiple transcript variants encoding different proteins have been found for this locus. |
|
Applications: |
ELISA, IHC |
|
Name of antibody: |
ASTN2 |
|
Immunogen: |
Fusion protein of human ASTN2 |
|
Full name: |
astrotactin 2 |
|
Synonyms: |
bA67K19.1 |
|
SwissProt: |
O75129 |
|
ELISA Recommended dilution: |
5000-10000 |
|
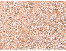
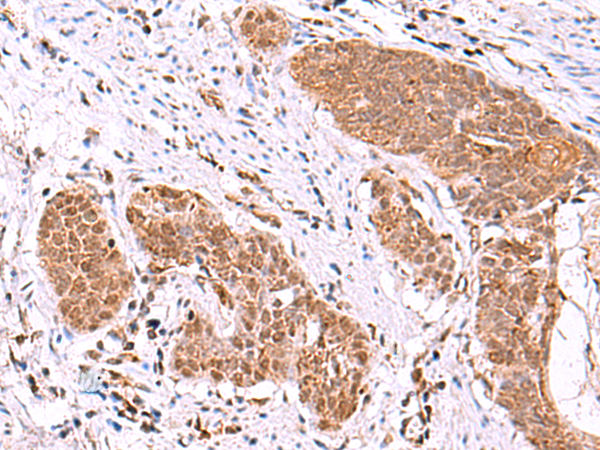
IHC positive control: |
Human colorectal cancer |
|
IHC Recommend dilution: |
50-300 |
購物車
幫助
021-54845833/15800441009
