中文名稱: 兔抗ASXL1多克隆抗體
|
Background: |
This gene is similar to the Drosophila additional sex combs gene, which encodes a chromatin-binding protein required for normal determination of segment identity in the developing embryo. The protein is a member of the Polycomb group of proteins, which are necessary for the maintenance of stable repression of homeotic and other loci. The protein is thought to disrupt chromatin in localized areas, enhancing transcription of certain genes while repressing the transcription of other genes. The protein encoded by this gene functions as a ligand-dependent co-activator for retinoic acid receptor in cooperation with nuclear receptor coactivator 1. Mutations in this gene are associated with myelodysplastic syndromes and chronic myelomonocytic leukemia. Alternative splicing results in multiple transcript variants. |
|
Applications: |
ELISA, IHC |
|
Name of antibody: |
ASXL1 |
|
Immunogen: |
Synthetic peptide of human ASXL1 |
|
Full name: |
additional sex combs like 1, transcriptional regulator |
|
Synonyms: |
MDS; BOPS |
|
SwissProt: |
Q8IXJ9 |
|
ELISA Recommended dilution: |
5000-10000 |
|
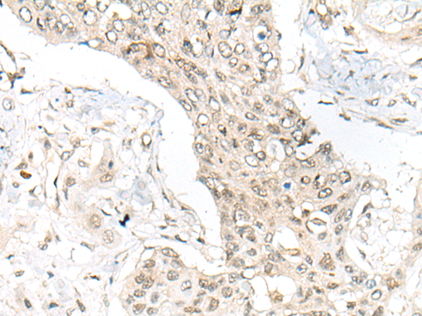
IHC positive control: |
Human prostate cancer and human gastric cancer |
|
IHC Recommend dilution: |
25-100 |
購物車
幫助
021-54845833/15800441009
