|
Background: |
The protein encoded by this gene is one of the eight subunits of COP9 signalosome, a highly conserved protein complex that functions as an important regulator in multiple signaling pathways. The structure and function of COP9 signalosome is similar to that of the 19S regulatory particle of 26S proteasome. COP9 signalosome has been shown to interact with SCF-type E3 ubiquitin ligases and act as a positive regulator of E3 ubiquitin ligases. This protein belongs to translation initiation factor 3 (eIF3) superfamily. It is involved in the regulation of cell cycle and likely to be a cellular cofactor for HIV-1 accessory gene product Vpr. |
|
Applications: |
ELISA, IHC |
|
Name of antibody: |
COPS6 |
|
Immunogen: |
Full length fusion protein(327FULL) |
|
Full name: |
COP9 signalosome subunit 6 |
|
Synonyms: |
CSN6; MOV34-34KD |
|
SwissProt: |
Q7L5N1 |
|
ELISA Recommended dilution: |
5000-10000 |
|
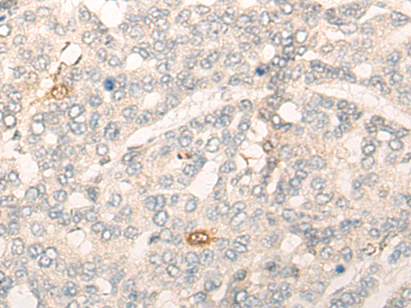
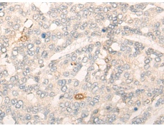
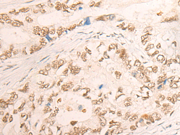
IHC Positive control: |
Human gastric cancer;Human liver cancer |
|
IHC Recommended dilution: |
20-100 |

購(gòu)物車
幫助
021-54845833/15800441009
