|
Background: |
The protein encoded by this gene is a member of the AAA family of adenosine triphosphatases (ATPases), is related to the Clp protease/heat shock family and is expressed prominently in the substantia nigra pars compacta. Mutations in this gene result in the autosomal dominant disorder, torsion dystonia 1. |
|
Applications: |
WB, IHC |
|
Name of antibody: |
TOR1A |
|
Immunogen: |
Fusion protein of human TOR1A |
|
Full name: |
torsin family 1, member A (torsin A) |
|
Synonyms: |
DQ2; DYT1 |
|
SwissProt: |
O14656 |
|
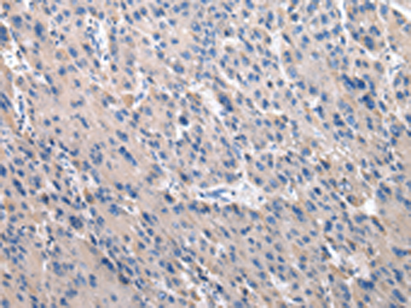
IHC positive control: |
Human liver cancer and Human esophagus cancer |
|
IHC Recommend dilution: |
25-100 |
|
WB Predicted band size: |
38 kDa |
|
WB Positive control: |
MCF7 cell |
|
WB Recommended dilution: |
500-2000 |

購物車
幫助
021-54845833/15800441009
