中文名稱: 兔抗TUBG1多克隆抗體
|
Background: |
TUBG; GCP-1; CDCBM4; TUBGCP1 |
|
Applications: |
WB, IHC |
|
Name of antibody: |
TUBG1 |
|
Immunogen: |
Synthesized peptide derived from Internal of human tubulin γ. |
|
Full name: |
tubulin, gamma 1 |
|
Synonyms: |
TUBG; GCP-1; CDCBM4; TUBGCP1 |
|
SwissProt: |
P23258 |
|
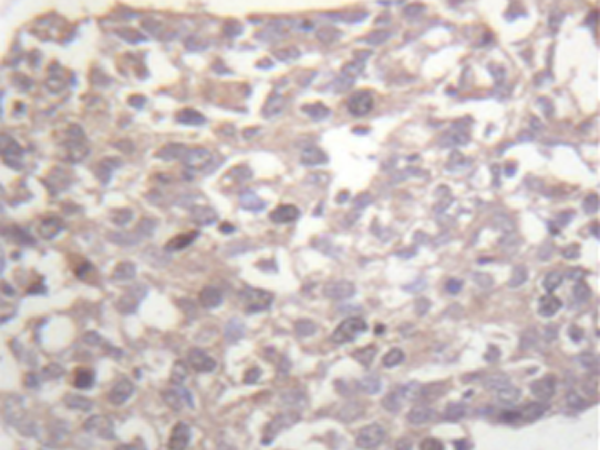
IHC positive control: |
Human breast carcinoma tissue |
|
IHC Recommend dilution: |
50-100 |
|
WB Predicted band size: |
51 kDa |
|
WB Positive control: |
Mouse brain tissue lysate |
|
WB Recommended dilution: |
500-3000 |


購物車
幫助
021-54845833/15800441009
