|
Background: |
Laminins are basement membrane components thought to mediate the attachment, migration and organization of cells into tissues during embryonic development by interacting with other extracellular matrix components. The protein encoded by this gene is the alpha-3 subunit of laminin 5, which is a complex glycoprotein composed of three subunits (alpha, beta, and gamma). Laminin 5 is thought to be involved in cell adhesion, signal transduction and differentiation of keratinocytes. Mutations in this gene have been identified as the cause of Herlitz type junctional epidermolysis bullosa. Alternatively spliced transcript variants encoding different isoforms have been identified for this gene. |
|
Applications: |
ELISA, IHC |
|
Name of antibody: |
LAMA3 |
|
Immunogen: |
Synthetic peptide of human LAMA3 |
|
Full name: |
laminin, alpha 3 |
|
Synonyms: |
E170, LOCS, BM600, LAMNA, lama4a |
|
SwissProt: |
Q16787 |
|
ELISA Recommended dilution: |
1000-10000 |
|
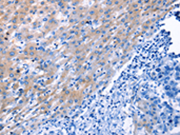
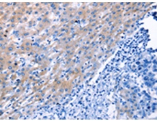
IHC positive control: |
Human liver cancer |
|
IHC Recommend dilution: |
25-100 |

購(gòu)物車
幫助
021-54845833/15800441009
