中文名稱: 兔抗MAF多克隆抗體
|
Background: |
The protein encoded by this gene is a DNA-binding, leucine zipper-containing transcription factor that acts as a homodimer or as a heterodimer. Depending on the binding site and binding partner, the encoded protein can be a transcriptional activator or repressor. This protein plays a role in the regulation of several cellular processes, including embryonic lens fiber cell development, increased T-cell susceptibility to apoptosis, and chondrocyte terminal differentiation. Defects in this gene are a cause of juvenile-onset pulverulent cataract as well as congenital cerulean cataract 4 (CCA4). Two transcript variants encoding different isoforms have been found for this gene. |
|
Applications: |
ELISA, WB, IHC |
|
Name of antibody: |
MAF |
|
Immunogen: |
Synthetic peptide of human MAF |
|
Full name: |
MAF bZIP transcription factor |
|
Synonyms: |
CCA4; AYGRP; c-MAF; CTRCT21 |
|
SwissProt: |
O75444 |
|
ELISA Recommended dilution: |
5000-10000 |
|
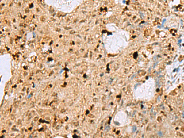
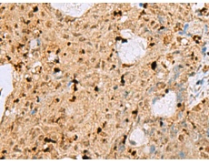
IHC positive control: |
Human ovarian cancer |
|
IHC Recommend dilution: |
50-100 |
|
WB Predicted band size: |
38 kDa |
|
WB Positive control: |
HepG2 cell and Mouse brain tissue lysates |
|
WB Recommended dilution: |
500-2000 |

購物車
幫助
021-54845833/15800441009
