|
Background: |
This gene is a member of the MAGEA gene family. The members of this family encode proteins with 50 to 80% sequence identity to each other. The promoters and first exons of the MAGEA genes show considerable variability, suggesting that the existence of this gene family enables the same function to be expressed under different transcriptional controls. The MAGEA genes are clustered at chromosomal location Xq28. They have been implicated in some hereditary disorders, such as dyskeratosis congenita. Alternative splicing results in multiple transcript variants. |
|
Applications: |
ELISA, WB, IHC |
|
Name of antibody: |
MAGEA10 |
|
Immunogen: |
Fusion protein of human MAGEA10 |
|
Full name: |
melanoma antigen family A, 10 |
|
Synonyms: |
CT1.10; MAGE10 |
|
SwissProt: |
P43363 |
|
ELISA Recommended dilution: |
2000-10000 |
|
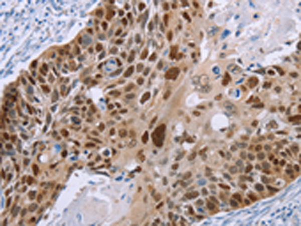
IHC positive control: |
Human esophagus cancer |
|
IHC Recommend dilution: |
50-200 |
|
WB Predicted band size: |
41 kDa |
|
WB Positive control: |
A375 cells |
|
WB Recommended dilution: |
1000-5000 |

購物車
幫助
021-54845833/15800441009
