|
Background: |
This gene encodes a member of the cytochrome P450 superfamily of enzymes. The cytochrome P450 proteins are monooxygenases which catalyze many reactions involved in drug metabolism and synthesis of cholesterol, steroids and other lipids. This protein localizes to the endoplasmic reticulum and is known to metabolize many xenobiotics, including the anticonvulsive drug mephenytoin, omeprazole, diazepam and some barbiturates. Polymorphism within this gene is associated with variable ability to metabolize mephenytoin, known as the poor metabolizer and extensive metabolizer phenotypes. The gene is located within a cluster of cytochrome P450 genes on chromosome 10q24. |
|
Applications: |
ELISA, IHC |
|
Name of antibody: |
CYP2C19 |
|
Immunogen: |
Synthetic peptide of human CYP2C19 |
|
Full name: |
cytochrome P450 family 2 subfamily C member 19 |
|
Synonyms: |
CPCJ; CYP2C; P450C2C; CYPIIC17; CYPIIC19; P450IIC19 |
|
SwissProt: |
P33261 |
|
ELISA Recommended dilution: |
5000-10000 |
|
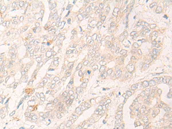
IHC positive control: |
Human liver cancer |
|
IHC Recommend dilution: |
25-100 |
購(gòu)物車
幫助
021-54845833/15800441009
