中文名稱(chēng):兔抗ATXN7L3多克隆抗體
|
Background: |
Component of the transcription regulatory histone acetylation (HAT) complex SAGA, a multiprotein complex that activates transcription by remodeling chromatin and mediating histone acetylation and deubiquitination. Within the SAGA complex, participates in a subcomplex that specifically deubiquitinates both histones H2A and H2B. The SAGA complex is recruited to specific gene promoters by activators such as MYC, where it is required for transcription. Required for nuclear receptor-mediated transactivation. Within the complex, it is required to recruit USP22 and ENY2 into the SAGA complex. |
|
Applications: |
ELISA, WB, IHC |
|
Name of antibody: |
ATXN7L3 |
|
Immunogen: |
Fusion protein of human ATXN7L3 |
|
Full name: |
ataxin 7-like 3 |
|
SwissProt: |
Q14CW9 |
|
ELISA Recommended dilution: |
5000-10000 |
|
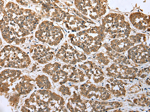
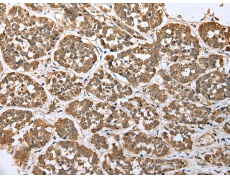
IHC positive control: |
Human brain and human esophagus cancer |
|
IHC Recommend dilution: |
25-100 |
|
WB Predicted band size: |
39 kDa |
|
WB Positive control: |
Hela and Raji cell lysates |
|
WB Recommended dilution: |
500-2000 |



購(gòu)物車(chē)
幫助
021-54845833/15800441009
