|
Background: |
This gene encodes a scaffold protein that is a component of the PIKfyve protein kinase complex. This complex is responsible for the synthesis of phosphatidylinositol 3,5-bisphosphate, an important component of cellular membranes, from phosphatidylinositol 3-phosphate. Mice lacking a functional copy of this gene exhibit severe neurodegeneration. Mutations in the human gene have been identified in patients with a childhood onset progressive neurological disorder characterized by impaired movement, dystonia, and striatal abnormalities. |
|
Applications: |
ELISA, IHC |
|
Name of antibody: |
VAC14 |
|
Immunogen: |
Fusion protein of human VAC14 |
|
Full name: |
VAC14 component of PIKFYVE complex |
|
Synonyms: |
TRX; TAX1BP2; ArPIKfyve |
|
SwissProt: |
Q08AM6 |
|
ELISA Recommended dilution: |
5000-10000 |
|
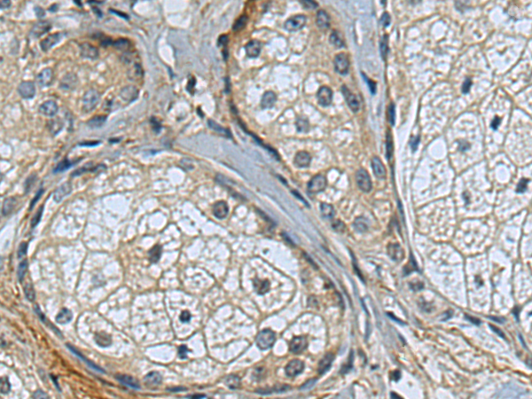
IHC positive control: |
Human breast cancer |
|
IHC Recommend dilution: |
100-200 |
購物車
幫助
021-54845833/15800441009
