中文名稱: 兔抗TSPYL6多克隆抗體
|
Background: |
TSPYL6 (Testis-specific Y-encoded-like protein 6) is a 410 amino acid member of the nucleosome assembly protein (NAP) family. TSPYL6 is believed to be similar to Testis-specific Y-encoded protein 1 in form and function. The gene that encodes TSPYL6 is found on chromosome 2 which consists of 237 million bases encoding over 1,400 genes and making up approximately 8% of the human genome. A number of genetic diseases are linked to genes on chromosome 2. The lipid metabolic disorder sitosterolemia is associated with ABCG5 and ABCG8. An extremely rare recessive genetic disorder, Alstr m syndrome is due to mutations in the ALMS1 gene. |
|
Applications: |
ELISA, IHC |
|
Name of antibody: |
TSPYL6 |
|
Immunogen: |
Synthetic peptide of humanTSPYL6 |
|
Full name: |
TSPY-like 6 |
|
SwissProt: |
Q8N831 |
|
ELISA Recommended dilution: |
2000-5000 |
|
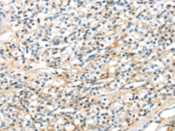
IHC positive control: |
Human prostate cancer and Human esophagus cancer |
|
IHC Recommend dilution: |
25-100 |

購物車
幫助
021-54845833/15800441009
