|
Background: |
This gene encodes a protein that is a member of the G protein-coupled receptor superfamily. This protein is produced predominantly in vascular smooth muscle cells and may play an important role in the regulation of vascular remodeling. |
|
Applications: |
ELISA, IHC |
|
Name of antibody: |
GPR180 |
|
Immunogen: |
Synthetic peptide of human GPR180 |
|
Full name: |
G protein-coupled receptor 180 |
|
Synonyms: |
ITR |
|
SwissProt: |
Q86V85 |
|
ELISA Recommended dilution: |
5000-10000 |
|
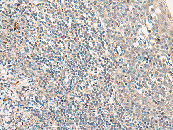
IHC positive control: |
Human tonsil |
|
IHC Recommend dilution: |
20-100 |

購物車
幫助
021-54845833/15800441009
