|
Background: |
The ITGA6 protein product is the integrin alpha chain alpha 6. Integrins are integral cell-surface proteins composed of an alpha chain and a beta chain. A given chain may combine with multiple partners resulting in different integrins. For example, alpha 6 may combine with beta 4 in the integrin referred to as TSP180, or with beta 1 in the integrin VLA-6. Integrins are known to participate in cell adhesion as well as cell-surface mediated signalling. Two transcript variants encoding different isoforms have been found for this gene. |
|
Applications: |
ELISA, IHC |
|
Name of antibody: |
ITGA6 |
|
Immunogen: |
Synthetic peptide of human ITGA6 |
|
Full name: |
integrin, alpha 6 |
|
Synonyms: |
CD49f; VLA-6; ITGA6B |
|
SwissProt: |
P23229 |
|
ELISA Recommended dilution: |
2000-5000 |
|
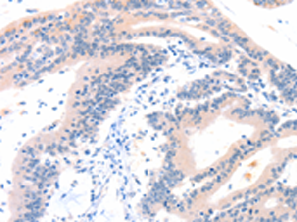
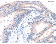
IHC positive control: |
Human colon cancer |
|
IHC Recommend dilution: |
25-100 |

購物車
幫助
021-54845833/15800441009
